Metamorfozy uśmiechu naszych Pacjentów

Zobacz jakich efektów leczenia możesz się spodziewać

Metamorfozy w TENDENT Stomatologia Janik – Spektakularne Efekty Twojego Uśmiechu

W TENDENT STOMATOLOGIA JANIK w Chorzowie realizujemy kompleksowe metamorfozy uśmiechów, dostosowane do indywidualnych potrzeb każdego pacjenta.

Nasz zespół specjalistów wykorzystuje nowoczesne technologie, takie jak Smile Creator czy cyfrowy skaner wewnątrzustny, aby osiągnąć precyzyjne i trwałe efekty. Korony porcelanowe, licówki, wybielanie – to tylko niektóre z procedur, które oferujemy, by odmienić Twój uśmiech w zaledwie kilka tygodni.

*Zdjęcia ukazują efekt zabiegu u konkretnego pacjenta. Efekt zabiegu może się różnić w zależności od indywidualnych cech pacjenta, liczby powtórzeń zabiegu, stosowania się pacjenta do zaleceń pozabiegowych oraz umiejętności osoby przeprowadzającej zabieg.

POZNAJ NASZE USŁUGI
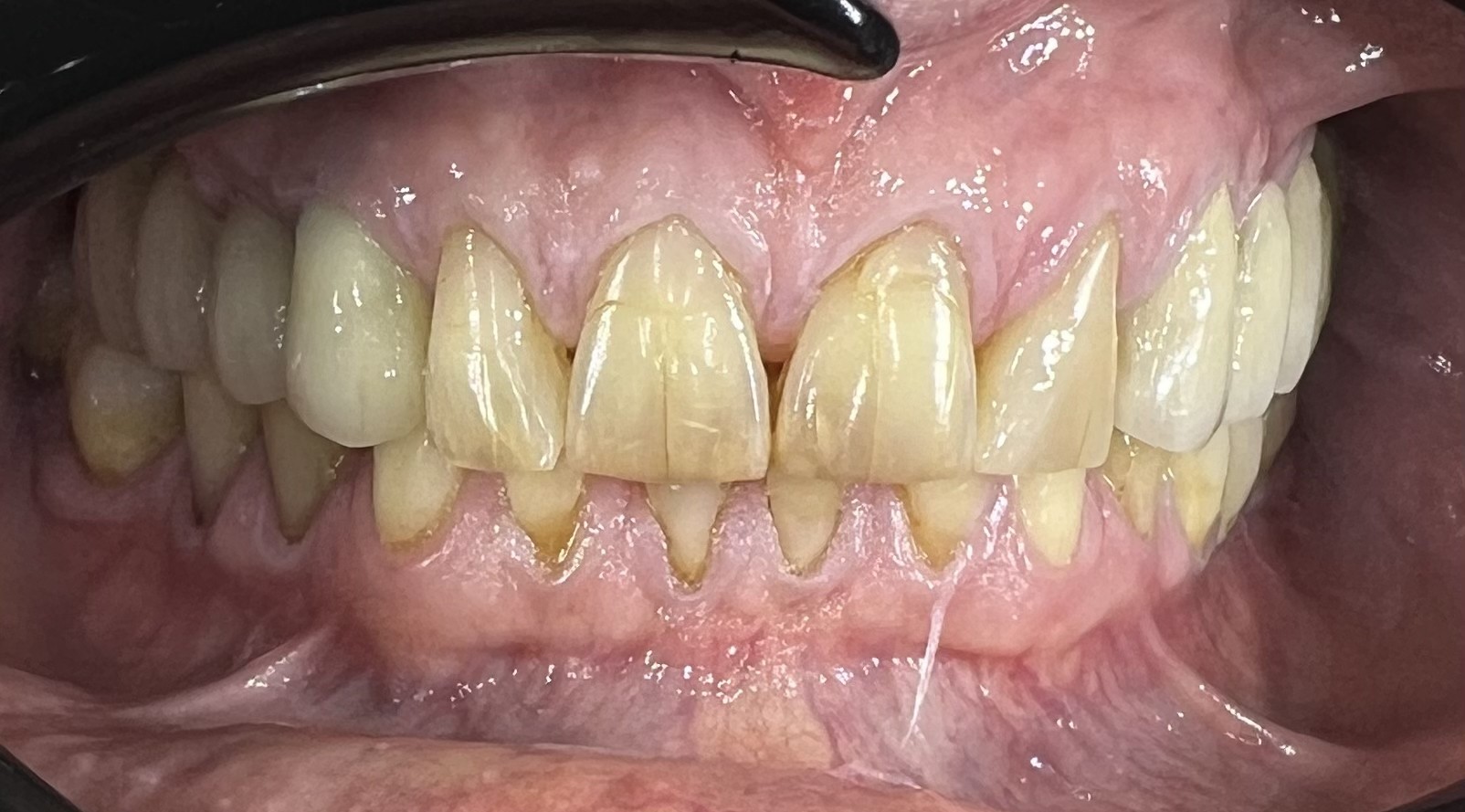
Before After

Pan Michał

Pan Michał zgłosił się do naszej kliniki z potrzebą wymiany starych mostów protetycznych, poprawy estetyki uśmiechu oraz wizualnej korekty wady ortodontycznej wynikającej z braku zęba bocznego. Dr Aleksandra Janik wraz z zespołem doświadczonych techników podjęła się tego wyzwania, wykonując kompleksową metamorfozę uśmiechu. Zastosowano nowoczesne mosty ceramiczne na cyrkonie, osadzone na zębach własnych Pacjenta, co pozwoliło uzyskać doskonały efekt estetyczny i funkcjonalny.

Pani Patrycja

Przedstawiamy efekty 2-miesięcznej metamorfozy naszej Pacjentki, która zgłosiła się do TENDENT STOMATOLOGIA JANIK po zakończeniu leczenia ortodontycznego w innym gabinecie. Jej celem była poprawa uśmiechu, zarówno koloru, jak i kształtu zębów.

Pierwszy etap leczenia obejmował wykonanie koron i licówek w dolnym łuku, aby ustalić prawidłowe warunki zwarcia zgryzu. Po okresie adaptacji przystąpiliśmy do kolejnego etapu, licówki w górnym łuku od piątki do piątki, które dopełniły całości metamorfozy.

Before After

Dowiedz się więcej na temat licówek wykonywanych w TENDENT – TUTAJ

Before After

Pan Tomasz

Pacjent zgłosił się do naszej kliniki z całkowitym bezzębiem górnego i dolnego łuku zębowego, które utracił już we wczesnym wieku. Przez lata brak uzębienia był dla niego źródłem kompleksów, obniżonej pewności siebie oraz znacznego dyskomfortu w codziennym funkcjonowaniu. Użytkowane wcześniej standardowe protezy całkowite nie spełniały jego oczekiwań, były niestabilne, powodowały dyskomfort i ograniczały radość z jedzenia oraz swobodnej rozmowy.

Zaproponowano kompleksowe leczenie implantologiczne w oparciu o nowoczesną metodę All-on-6, polegającą na wszczepieniu sześciu implantów w każdym łuku. Na implantach wykonano pełnołukową, komfortową pracę protetyczną, zapewniającą wysoką estetykę, stabilność oraz naturalne odczucia podczas żucia i mówienia.

Dla pacjenta była to prawdziwa zmiana jakości życia, odzyskał pewność siebie, komfort i uśmiech, którego brakowało mu przez wiele lat. Nowe, stałe zęby pozwoliły mu znów cieszyć się codziennością bez ograniczeń i wstydu.

Pani Małgorzata

Pacjentka zmagała się z ruchomym uzębieniem w odcinku górnym. Brak komfortu przy jedzeniu, częste awarie resztkowego uzębienia zmobilizowały p. Małgosię do zrobienia porządku raz na zawsze.

U pacjentki zaproponowano kompleksowe leczenie implantologiczne w oparciu o nowoczesną metodę All-on-ICX, polegającą na wszczepieniu sześciu implantów w łuku górnym. Na implantach wykonano pełnołukową, przykręcaną na stałe, komfortową pracę protetyczną, zapewniającą wysoką estetykę, stabilność oraz naturalne odczucia podczas żucia i mówienia.

Dla pacjenta była to prawdziwa zmiana jakości życia, odzyskał pewność siebie, komfort i uśmiech, którego brakowało jej przez wiele lat. Nowe, stałe zęby pozwoliły jej znów cieszyć się codziennością bez ograniczeń.

Before After
Before After

Pani Joanna

Nowy uśmiech został zaprojektowany cyfrowo by sprostać oczekiwaniom naszej uroczej Pacjentki. Korony ceramiczne na tlenku cyrkonu w odcinku przednim jako kontinuum naszej wieloletniej współpracy z Pacjentką Asią.

Czas leczenia – 3 wizyty.

Pan Krystian

Pan Krystian zgłosił się do gabinetu w momencie, gdy problemy z uzębieniem realnie odbierały mu komfort życia. Liczne braki zębowe w górnym i dolnym łuku oraz zaawansowane stany zapalne przyzębia powodowały ból, trudności w jedzeniu i narastające poczucie bezradności. Uśmiech przestał być dla niego powodem do dumy.

Proces leczenia wymagał zdecydowanych kroków. Ze względu na zły stan zachowanych zębów podjęto decyzję o ekstrakcji większości pozostałych zębów oraz odbudowie uzębienia przy pomocy całkowitej górnej protez akrylowej oraz dolnej protezy częściowej akrylowej. Dzięki odpowiedniemu planowaniu i indywidualnemu dopasowaniu uzupełnień możliwe było szybkie przywrócenie funkcji oraz estetyki.

Efekt metamorfozy przeszedł oczekiwania pacjenta. Nowy uśmiech znacząco poprawił jego samoocenę, dając poczucie pewności i kontroli nad własnym życiem. Dziś pan Krystian cieszy się swobodą jedzenia, mówienia i uśmiechania się bez wstydu. To historia, która pokazuje, jak nawet w trudnych przypadkach nowoczesna stomatologia potrafi przywrócić nie tylko uśmiech, ale też radość, komfort i nową jakość życia.

Before After

Pan Adam

Czas wykonania licówek to 3 tygodnie. Czas kompleksowego leczenia 4 miesiące. W kolejnych miesiącach wykonaliśmy licówki odc. dolnego.

Etapy leczenia: 
1. Kompleksowa diagnostyka jamy ustnej, analiza RTG, sesja fotograficzna, skan 3D
2. Higienizacja
3. Leczenie zachowawcze
4. Licówki porcelanowe

Licówki
Metamorfozy

Pan Mikhail

Pacjent zgłosił się do nas z ogromną potrzebą szybkiej zmiany swojego uśmiechu. Starannie przeprowadzono analizę estetyki na smile kreatorze, by przedstawić przyszły efekt leczenia. Nowy uśmiech naszego pacjentka tworzą korony porcelanowe na podbudowie cyrkonowej oraz korony osadzone na implantach w miejscach brakujących zębów

Czas metamorfozy wynosił 6 miesięcy. Przeprowadziła ją nasza specjalistka od kompleksowych metamorfoz doktor Aleksandra Janik. Pan Mikhail obecnie cieszy się nowym uśmiechem. Dba o regularne wizyty kontrolne u lekarza prowadzącego i higienistki.

*Zdjęcia ukazują efekt zabiegu u konkretnego pacjenta. Efekt zabiegu może się różnić w zależności od indywidualnych cech pacjenta, liczby powtórzeń zabiegu, stosowania się pacjenta do zaleceń pozabiegowych oraz umiejętności osoby przeprowadzającej zabieg.

Pani Elżbieta

Czas: pałna sanacja jamy ustnej. Zdjęcie starych koron, ekstrakcje, leczenie biologiczne, leczenie endodontyczne, odbudowy tymczasowe.

Wykonanie ostatecznej pracy protetycznej 3 tygodnie. Ze względów zdrowotnych Pacjentki wykonano konwencjonalne rozwiązanie protetyczne mianowicie korony ceramiczne na cyrkonie z zatrzaskami oraz protezą szkieletową górną. 

*Zdjęcia ukazują efekt zabiegu u konkretnego pacjenta. Efekt zabiegu może się różnić w zależności od indywidualnych cech pacjenta, liczby powtórzeń zabiegu, stosowania się pacjenta do zaleceń pozabiegowych oraz umiejętności osoby przeprowadzającej zabieg.

Metamorfozy
metamorfoza tendent

Dowiedz się więcej na temat koron porcelanowych wykonywanych w TENDENT – TUTAJ

Pani Aleksandra

Pacjentka zgłosiła się do nas z pragnieniem szybkiej poprawy estetyki swojego uśmiechu. Dzięki precyzyjnej analizie na Smile Creatorze mogliśmy zaprezentować jej wizję efektu końcowego.

Metamorfoza obejmowała wykonanie koron porcelanowych na podbudowie cyrkonowej z użyciem cyfrowego skanera wewnątrzustnego. Dla wyrównania koloru w dolnym łuku przeprowadziliśmy profesjonalne wybielanie. Całość procesu trwała 4 tygodnie.

*Zdjęcia ukazują efekt zabiegu u konkretnego pacjenta. Efekt zabiegu może się różnić w zależności od indywidualnych cech pacjenta, liczby powtórzeń zabiegu, stosowania się pacjenta do zaleceń pozabiegowych oraz umiejętności osoby przeprowadzającej zabieg.

Pan Grzegorz

Praca na stałe, na 6 implantach w odcinku górnym zastąpiła protezę ruchomą. 

Cyfrowe planowanie, szablony chirurgiczne i mamy nowy uśmiech. Po 6 miesiącach praca na stałe, wszystko w ceramice.

Konsultacja, pełna diagnostyka radiologiczna, planowanie cyfrowe, zabieg z wykorzystaniem szablonów chirurgicznych dla uzyskania perfekcyjnej precyzji położenia implantów, natychmiastowe zaopatrzenie zębami tymczasowymi na STAŁE tuż po zabiegu w tym samym dniu.

Po wygojeniu i osteointegracji implantów, po 6 miesiącach, montujemy pracę ostateczną, która jest trwała i pięknie odwzorowuje naturalny uśmiech. 

Metamorfozy
Metamorfozy

Pani Agnieszka

Korony porcelanowe na cyrkonie.


*Zdjęcia ukazują efekt zabiegu u konkretnego pacjenta. Efekt zabiegu może się różnić w zależności od indywidualnych cech pacjenta, liczby powtórzeń zabiegu, stosowania się pacjenta do zaleceń pozabiegowych oraz umiejętności osoby przeprowadzającej zabieg.

Pani Patrycja

Proteza szkieletowa na zasuwach na koronach porcelanowych na cyrkonie+ chirurgiczne wydłużenie koron klinicznych

*Zdjęcia ukazują efekt zabiegu u konkretnego pacjenta. Efekt zabiegu może się różnić w zależności od indywidualnych cech pacjenta, liczby powtórzeń zabiegu, stosowania się pacjenta do zaleceń pozabiegowych oraz umiejętności osoby przeprowadzającej zabieg.

Proteza szkieletowa
Metamorfozy

Pan Przemysław

Przeprowadziliśmy kompleksowe leczenie, obejmujące leczenie biologiczne, leczenie zaburzeń wysokości zwarcia, odbudowę braków zębowych.
Czas leczenia: 6 miesięcy Praca: korony, mosty cyrkonowe, proteza szkieletowa na zasuwach
Operator: leczenie biologiczne dr. Izabela Skórczyńska, leczenie zaburzenia okluzji oraz leczenie protetyczne dr. Aleksandra Janik

*Zdjęcia ukazują efekt zabiegu u konkretnego pacjenta. Efekt zabiegu może się różnić w zależności od indywidualnych cech pacjenta, liczby powtórzeń zabiegu, stosowania się pacjenta do zaleceń pozabiegowych oraz umiejętności osoby przeprowadzającej zabieg.

Pacjentka

6 miesięczną przemianę naszej Pacjentki, która zgłosiła się do TENDENT STOMATOLOGIA JANIK z marzeniem o pięknym uśmiechu.

Lekarzem prowadzącym była doktor Aleksandra Janik

Ostatecznie Pacjentka miała wykonane w łuku górnym korony ceramiczne na cyrkonie w odcinku górnym i dolnym oraz korny na implantach w odcinkach bocznych.

*Zdjęcia ukazują efekt zabiegu u konkretnego pacjenta. Efekt zabiegu może się różnić w zależności od indywidualnych cech pacjenta, liczby powtórzeń zabiegu, stosowania się pacjenta do zaleceń pozabiegowych oraz umiejętności osoby przeprowadzającej zabieg.

Metamorfozy
Metamorfozy

*Zdjęcia ukazują efekt zabiegu u konkretnego pacjenta. Efekt zabiegu może się różnić w zależności od indywidualnych cech pacjenta, liczby powtórzeń zabiegu, stosowania się pacjenta do zaleceń pozabiegowych oraz umiejętności osoby przeprowadzającej zabieg.

Przedstawiamy Wam kolejny przykład kompleksowego leczenia ,który odbył się dzięki ścisłej współpracy naszego zespołu. Pacjentka była zmotywowana, by zmienić swój uśmiech. Po wnikliwej analizie na podstawie zdjęć tomograficznych, modeli 3D , analizie estetycznej omówiono potrzeby pacjentki oraz zaczęto działać! Każdy etap leczenia został starannie zaplanowany

Przeprowadzono:
– leczenie zachowawcze-eliminacja ognisk próchnicy, powtórne leczenie endodontycze pod mikroskopem, tak by uzębienie było w idealnym stanie by można było wykonać kolejne procedury
– leczenie ortodontyczne – przedprotetyczne
– odbudowę estetyki poprzez korony ceramiczne na cyrkonie w odcinku górnym

W celu podkręcenia efektu WOW! Zęby własne w odcinku dolnympacjentka wybilała na dedykowanej szynie do wybielania. Zapewne pochwalimy się efektem po wizycie kontrolnej.  Lekarzem prowadzącym metamorfozę jest lekarz Aleksandra Janik.